앞니 벌어짐 레진 비용
- 치아건강
- 2025. 11. 21. 16:01
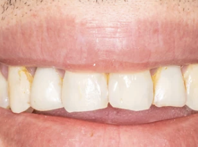
앞니 벌어짐 레진 비용 — 자연스러운 심미 회복을 원할 때 가장 많이 선택하는 이유
앞니 사이가 조금 벌어져 있으면
웃을 때 신경 쓰이기도 하고, 사진 찍을 때도 괜히 입술에 힘이 들어가죠.
교정치료까지는 부담스럽고, 빠르게 심미 회복을 원한다면
가장 많이 선택되는 방법이 바로 앞니 레진 보강(레진 쉐이핑)이에요.
오늘은 레진으로 앞니 벌어짐을 메울 때의 비용 범위, 시술 과정, 비용이 달라지는 이유를
블로그 형식으로 자세히 정리해드릴게요.
1. 앞니 벌어짐 레진 비용은 어느 정도일까?



앞니 레진은 비급여 진료라 치과마다 차이가 있지만
일반적인 평균 가격대는 아래처럼 형성되어 있어요.
- 치아 1개당 약 15만 ~ 30만 원대
- 양쪽 앞니를 모두 보완하는 경우 보통 30만 ~ 60만 원대
- 심미 요구가 높거나 난이도 높은 디테일 작업은
1개당 40만 원대 이상이 되기도 합니다.
간격이 작을수록 비용이 낮고,
간격이 넓어 레진량이 많아지거나 색조 맞춤이 까다로울수록 비용이 올라가는 구조예요.
2. 앞니 레진 치료는 어떻게 진행될까?



✔ 1) 간격과 치아 형태 분석
벌어진 폭·치아 모양·교합 상태를 보고
레진으로 자연스럽게 메울 수 있는지 먼저 판단해요.
✔ 2) 색·비율 맞추기
자연치아와 어울리는 색조를 선택하고
옆니와 비율이 어색하지 않도록 미세 조정합니다.
✔ 3) 레진 적층·성형
앞니 표면에 레진을 여러 겹 쌓아가며
자연스러운 곡선과 두께를 만들어줍니다.
✔ 4) 광경화·마무리
특수 광선을 이용해 단단하게 굳힌 뒤
광택·연마 작업을 해서 자연 치아와의 경계를 부드럽게 맞춰요.
시술 시간은 보통 30분~1시간 내외로,
당일 바로 일상생활이 가능합니다.
3. 비용이 달라지는 결정 요소



✔ 간격 크기
간격이 넓을수록 레진 양이 많아지고
치아 비율을 맞추기 어려워 비용 상승.
✔ 치아 형태·교합
윗니·아랫니가 맞닿는 상태가 좋지 않으면
치료 난이도가 올라가고 추가 비용이 생길 수 있어요.
✔ 색·심미 수준
앞니는 잘 보이는 부위라
자연광에서의 색차 조절이 중요해
섬세한 작업일수록 비용이 올라갑니다.
✔ 치과의 장비·의사 숙련도
심미치과 전문성이 높은 곳일수록
가격은 조금 높지만 결과 만족도는 크게 차이가 나요.
4. 레진 치료의 장점



- 교정보다 빠르고 비용 부담이 적음
- 치아 삭제가 거의 없어 자연치아 보존
- 시술 당일 바로 외관 개선
- 자연스러운 마무리 가능
- 통증·회복기간 거의 없음
단, 레진은 시간이 지나면 변색되거나 닳을 수 있기 때문에
3~5년 주기 관리가 필요해요.
5. 이런 분께 추천해요
- 앞니 사이가 0.5~2mm 정도 벌어진 경우
- 빠른 심미 개선을 원하는 경우
- 교정까지는 필요 없다고 판단되는 경우
- 결혼·촬영 등 중요한 일정 전에 외관 개선이 필요한 경우
마무리



앞니 벌어짐 레진은
“부담 적고, 빠르고, 자연스럽게”
세 가지를 모두 충족하는 심미 치료예요.
비용은 치과마다 차이가 있지만
경험 많은 치과에서 색·비율·형태를 정교하게 조절해 주면
정말 자연스러운 결과가 나옵니다.
필요하시면 레진 vs 라미네이트 비교까지 정리해드릴게요!