자궁암 초기증상 알아보기
- 암에 대한 모든것
- 2025. 5. 21. 06:17
자궁암 초기증상 – 조기 발견이 생존율을 좌우한다! 여성이라면 꼭 알아야 할 이상 신호 총정리
자궁암은 여성에게 발생하는 대표적인 부인암 중 하나로,
자궁경부암과 자궁내막암(체부암) 두 가지로 나뉘며, 그 원인과 증상에도 차이가 있습니다.
특히 초기에는 특별한 통증 없이 지나가는 경우가 많아 자각하지 못하고 뒤늦게 발견되는 경우가 많습니다.
이번 글에서는 자궁경부암과 자궁내막암 각각의 초기증상, 의심해야 할 경고 신호, 조기 진단 방법, 그리고 검진 및 예방에 대한 정보까지 자세히 정리해드립니다.
1. 자궁암이란? 두 가지 형태 구분부터!



구분 자궁경부암 자궁내막암(체부암)
| 발생 부위 | 자궁 입구(자궁경부) | 자궁 안쪽 내막(자궁체부) | 
| 주요 원인 | HPV(인유두종바이러스) 감염 | 에스트로겐 과다, 비만, 유전 | 
| 주요 발생 연령 | 30~50대 | 50대 이상 폐경 여성 | 
| 조기 진단 | 자궁경부암은 국가검진 포함 → 조기 발견률 높음 | 자궁내막암은 자각 증상이 중요함 | 
✅ 자궁경부암은 예방접종과 정기검진이 매우 중요하고,
✅ 자궁내막암은 질 출혈 등 이상 증상을 민감하게 감지하는 것이 핵심입니다.
2. 자궁경부암 초기증상



✅ 1) 생리 외 출혈
- 생리와 관계없는 불규칙한 출혈
- 관계 후 출혈(접촉성 출혈)도 자주 발생
- 월경 기간과 무관한 소량의 붉은 분비물도 주의
✅ 2) 질 분비물 변화
- 악취가 나는 분비물, 노란색이나 갈색, 고름 같은 형태
- 수분처럼 묽은 분비물이 지속될 수도 있음
✅ 3) 성관계 중 통증
- 자궁 경부가 자극에 예민해져 생기는 증상
- 불쾌감이나 하복부 통증 동반 가능
✅ 4) 하복부 불편감
- 뻐근한 느낌, 당기듯한 통증
- 소화불량이나 배변활동과 혼동되기 쉬움
✅ 5) 생리 주기 변화
- 생리양이 급격히 늘거나, 기간이 늘어나는 경우
- 갑자기 생리주기가 짧아지거나 출혈이 끊이지 않음
3. 자궁내막암 초기증상



✅ 1) 폐경 후 질 출혈
- 가장 대표적이며, 거의 유일한 경고 신호
- 폐경 후 수개월~수년 지난 뒤 다시 출혈이 생기면 즉시 병원 내원
✅ 2) 월경과다 또는 부정출혈
- 생리기간이 길어지고 양이 매우 많음
- 월경 사이에 반복되는 소량 출혈도 주의
✅ 3) 하복부 통증 또는 압박감
- 초기엔 미미하지만 진행되며 무거운 느낌, 묵직한 통증으로 바뀜
✅ 4) 질 분비물 증가
- 고름 같은 분비물, 묽은 액체형 질 분비물이 지속될 경우
✅ 5) 체중 감소와 피로감
- 특별한 이유 없이 살이 빠지거나 피로가 심해질 때
- 진행성 자궁내막암일 가능성 있음
4. 자궁암이 의심되는 특이 증상 요약표



증상 경고 지표
| 생리 외 출혈 | 생리 주기와 무관한 출혈, 폐경 후 출혈 | 
| 냄새 나는 분비물 | 황색, 고름색 분비물, 악취 동반 | 
| 하복부 통증 | 당기듯한 통증, 묵직한 느낌 | 
| 성관계 중 출혈 | 접촉 후 반복되는 출혈 | 
| 극심한 생리통 | 자궁내막암의 가능성 포함 | 
❗ 특히 폐경 이후 출혈은 정상일 수 없으며 반드시 병원 검진 필요
5. 조기 발견을 위한 검진 방법



검진명 대상 주기 특징
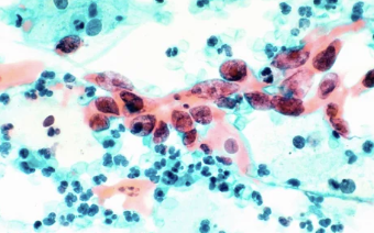
| 자궁경부세포검사(파파니콜로 검사) | 20세 이상 성경험 여성 | 2년마다 무료 국가검진 | 자궁경부암 조기 진단에 매우 효과적 | 
| HPV DNA 검사 | 30세 이상 여성 | 선택 | 고위험군 바이러스 탐지 | 
| 질 초음파 | 자궁내막암 의심 시 | 수시 | 내막 두께·형태 확인 가능 | 
| 자궁내막 조직검사 | 이상출혈 시 | 필요 시 | 자궁내막암 최종 진단 | 
6. 예방을 위한 생활습관



- HPV 백신 접종 (가다실, 서바릭스 등)
 → 12~17세 접종 권장, 26세까지 유효
- 정기적인 산부인과 검진 습관화
- 흡연 금지 – 자궁경부암과 직접 연관
- 과체중 관리, 당뇨 예방 – 자궁내막암 위험도 감소
- 호르몬치료 시 전문가 상담 필수