매복 사랑니 발치 후 식사: 제대로 알아야 빠른 회복 가능!
- 치아건강
- 2024. 12. 16. 12:58
매복 사랑니 발치를 하고 나면 음식 섭취에 많은 제한이 생깁니다. 잘못된 식사는 상처를 악화시키고, 통증을 더 심하게 만들 수 있어요. 오늘은 매복 사랑니 발치 후 올바른 식사 방법과 주의할 점을 단계별로 정리해 보았습니다.
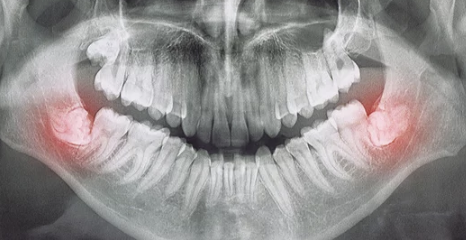
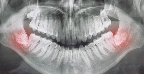
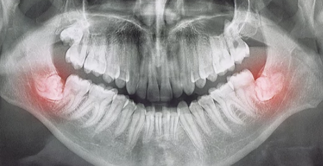
1. 매복 사랑니 발치란 무엇인가?



매복 사랑니란?
매복 사랑니는 턱뼈 안에서 완전히 나오지 못하거나 비정상적인 각도로 자란 사랑니를 말합니다. 이런 사랑니는 주변 치아를 밀거나 잇몸 염증, 통증 등을 유발할 수 있어 발치가 필요합니다.
매복 사랑니 발치 과정
- X-ray 검사: 매복 상태 확인.
- 발치 수술: 잇몸과 뼈 일부를 제거한 후 사랑니를 발치.
- 회복 기간: 통증과 부기가 동반되며 적절한 관리가 필수.
2. 발치 직후 식사 주의사항



왜 식사가 중요한가요?
발치 후 상처가 아물고 회복되기까지 식사는 회복 속도를 결정짓는 중요한 요소입니다. 잘못된 음식 섭취는 상처 부위의 감염이나 출혈을 유발할 수 있습니다.
발치 후 즉시 주의할 점
- 뜨겁거나 차가운 음식 피하기: 상처 부위를 자극할 수 있습니다.
- 빨대 사용 금지: 빨대로 음료를 마시면 압력으로 인해 피가 다시 날 수 있습니다.
- 딱딱하고 질긴 음식 피하기: 씹는 과정에서 상처 부위를 자극할 위험이 있습니다.
3. 사랑니 발치 후 추천 음식



첫 24시간: 유동식 위주
- 미음이나 죽: 삼키기 쉽고 영양 보충이 가능.
- 요거트: 부드럽고 상처에 부담을 주지 않음.
- 우유나 두유: 단백질 보충.
24시간 이후부터: 부드러운 고형식
- 계란찜: 단백질 보충에 적합.
- 감자 퓌레: 씹을 필요 없이 쉽게 섭취 가능.
- 두부 요리: 부드러우면서 영양가가 높음.
4. 피해야 할 음식들



발치 후 회복을 방해하는 음식
- 매운 음식: 상처 부위의 염증을 악화시킬 수 있습니다.
- 알코올과 카페인: 혈액순환을 자극해 출혈 위험 증가.
- 씨 있는 과일: 씨앗이 상처 부위에 끼일 수 있습니다.
- 튀긴 음식: 기름진 음식은 소화에 부담을 줌.
딱딱한 음식의 위험성
과자, 견과류, 사과 등은 씹는 과정에서 상처 부위를 건드릴 가능성이 높습니다. 회복이 완료되기 전까지는 피하는 것이 좋습니다.
5. 사랑니 발치 후 회복 속도를 높이는 방법



적절한 영양 섭취
- 비타민 C: 상처 회복에 필수. 오렌지나 키위 같은 과일은 즙 형태로 섭취.
- 단백질: 조직 재생에 도움. 계란, 두부, 생선 등 부드러운 단백질 음식 추천.
- 수분 보충: 충분한 물 섭취로 상처 치유를 돕습니다.
회복을 돕는 생활습관
- 얼음찜질: 발치 직후 부기를 줄여줍니다.
- 금연: 흡연은 상처 치유를 지연시키므로 꼭 금연하세요.
6. 발치 후 식사 단계별 추천 식단
시간대 권장 음식 피해야 할 음식
| 발치 직후(0~24시간) | 미음, 요거트, 우유 | 뜨거운 음식, 빨대 사용 |
| 24시간 이후 | 계란찜, 감자 퓌레 | 매운 음식, 튀긴 음식 |
| 3~5일 이후 | 부드러운 고기, 생선찜 | 견과류, 씨 있는 과일 |
| 1주일 이후 | 일반적인 식사 가능 | 여전히 너무 딱딱한 음식은 피하기 |
7. 사랑니 발치 후 문제가 발생했을 때 대처 방법



증상이 지속될 경우
- 출혈: 24시간 이후에도 출혈이 지속되면 병원을 방문하세요.
- 심한 통증: 약물로도 완화되지 않는다면 드라이소켓(상처가 제대로 아물지 않는 상태)을 의심할 수 있습니다.
- 발열 및 부기: 감염 가능성이 있으므로 즉시 치과에 문의하세요.
응급 상황 대처법
- 깨끗한 거즈로 압박: 출혈이 있을 경우 상처 부위를 거즈로 가볍게 물어주세요.
- 온찜질 전환: 48시간 이후 부기와 통증 완화를 위해 온찜질로 전환합니다.
결론
매복 사랑니 발치 후에는 음식 선택과 섭취 방법이 회복 속도에 큰 영향을 미칩니다. 부드러운 음식을 섭취하며 상처 부위를 보호하고, 충분한 영양을 섭취하는 것이 중요합니다. 특히 통증이나 출혈이 심하면 전문가의 도움을 받는 것이 필수입니다. 올바른 관리를 통해 사랑니 발치 후 빠른 회복을 기대하세요.